On Tuesday I fractured my tibia at the knee and tore some ligaments. Did it at MMA training, went down and it made a bang like a gunshot. The whole gym heard it and stopped, just thinking about it is extremely painful, in addition to the constant actual pain I'm in. Which is horrific, I'm almost in tears just trying to get off the sofa sometimes
Anyway I've been to A&E and the fracture clinic and they've put me in a cast and I'm waiting for an MRI. The consultant I saw yesterday said I have a week window to reconstruct the knee and need the MRI first. They can see from the X ray that I've pulled away the bone where the LCL attaches to the fibia
They booked me in with the consultant Thursday and said that when I get the MRI appointment if it's before Wednesday to move the consultant appt forward. Got the MRI for Sunday so called to move and apparently "computer says no". Because I have the appt Thurs I'm assigned to the consultant that does appointments on Thurs and that now can't be changed. I've been on the phone to a good dozen people in the hospital and no luck.
So basically it'll be almost 2 weeks before they actually do anything which has me very worried, I like being able to walk and ride my bike and at 32 am not keen on losing those abilities due to some NHS bureaucratic nonsense
I do have Bupa insurance through work but they have no specialists in my area. The closest one is pretty much a whole day round trip and means getting on and off ferries which in my situation is not going to be a good idea. And of course nothing to say it'll be any better/quicker than my current situation
Anyone had a similar break, or any surgeons/doctors who have dealt with similar? How long was your recovery, and was it fully back to before condition? If I miss that week window am I screwed?
Not in a great place, constant pain, losing all my strength, training and cardio, working from home and the prospect of not recovering are really not nice. I'm spending 24hrs on the sofa as I can't even get upstairs to my bedroom.
Please tell me stories of how you were fine and recovered in 2 weeks 🙂
I do have Bupa insurance through work but they have no specialists in my area. The closest one is pretty much a whole day round trip and means getting on and off ferries which in my situation is not going to be a good idea.
I'd be on the phone to BUPA at this point and asking for transportation to an appropriate specialist.
This is not just "might take a bit longer to heal" if you miss the window for an operation, this is life-changing injury time and I'd be doing everything I could to access specialist treatment regardless of the hassle.
Argh, that sounds horrible. Bummer. I am not an orthopod but that does sound rather serious.
It seems daft to tell you that you have a 1 week window if they can't deliver that. If we "needed" to fix something within a fixed 1 week timeframe, you'd be staying in hospital since that speeds up the whole process of getting tests done immeasurably. Getting an outpatient MRI booked / scanned / reported in less than a week is... ambitious. Perhaps that's just where I work.
Having said that, I have no idea where this "1 week" timeframe would come from. Perhaps operating sooner reduces the atrophy (muscle wasting) around the knee a bit. After all 1 week / 168 hours is a fairly arbitrary deadline to make. I suspect it's more a case of "the sooner the better" rather than any fixed time.
By all means, get it fixed quickly, but I would make sure it's fixed by the best person who knows all the important info first. Again, I'm not an orthopod and I may be wrong, but it strikes me that this is the kind of injury that needs sorting as accurately as humanly possible in order to give you the best chance of the knee functioning well in future.
Find something to keep your spirits up over the next few weeks. They're gonna be painful, both from a physical but also psychological perspective. The training is going to be on hold for a while. Get some Lego or craft stuff or something.
Yeah I'm waiting for a call back from the hospital (I'll probably have to call them myself) but if that gets nowhere I'll be pursuing that. Thing is though is I'd like to understand how critical and accurate that week window is. Seen some studies on Google that suggest waiting a few weeks is actually better. Of course the problem with that is it's the internet and I'm not a doctor
Thanks Superficial, I agree the 1 week thing seems very arbitrary. I also agree that I want the best person possible to do the surgery, problem is that I'm in no position to judge who that might be. I could assume that the private care would be better but maybe I'll trip over getting on the ferry to go there and make it worse, or maybe the private surgeon had a couple glasses of wine the night before and isn't 100%. Or maybe the NHS surgeon is an absolute genius and just works for the local hospital because he likes living here.
Got the MRI for Sunday so called to move
You are in a massive amount of pain and wanted to move the appointment?
I would be doing everything possible so push the schedule forward either privately or with NHS.
My mum fell and fractured her back and has been waiting months for an MRI. Outcome is now she will just have to live with the pain. Would it have been different if she saw someone sooner - We will never know.
You are in a massive amount of pain and wanted to move the appointment?
I would be doing everything possible so push the schedule forward either privately or with NHS.
My mum fell and fractured her back and has been waiting months for an MRI. Outcome is now she will just have to live with the pain. Would it have been different if she saw someone sooner – We will never know.
I have done everything possible for now, my next option would be to move over to private but if they have to repeat the MRI (Bupa guy said this is likely) and start the whole investigation, and I also have to be able to get over there it could easily end up taking longer than just sticking with the NHS. No easy answer
Sounds nasty.
One of my patients has just suffered a trimalleolar fracture (triple break at the ankle). Orthopaedic consultant has advised that "the window" is now considered to be up to 14-16 days from fracture.
I'd certainly get on to Bupa, if only for a second opinion.
Best of luck with your recovery... it's going to take some time.
they have to repeat the MRI
My experience with private healthcare in this regard is that you have the MRI in the morning and are sat in the consultant's office discussing the result in the afternoon.
Yes you will recover. I knew someone who had done this and were OK afterwards. Its a nasty injury and will take time to heal but no reason why not
Just phoned the hospital and spoke to the consultant's secretary who said she'd checked and "it'll be fine". Had she actually checked she probably would have called me afterwards as she promised right? She also didn't say "I've checked with him and he said it'll be fine", sounded to me like she'd drawn her own conclusion
I'll get onto Bupa and see what their timescale is. It'll be a ballache but it'll be a ballache I'll regret not doing if I leave it and lose the ability to walk properly
Cheers TJ, need some good news!
I would be hassling BUPA to get what you need in tandem with hassling the NHS don’t stick to one option until you’ve got what you need. As mentioned above when I had bupa mri it was done and consulted about in a oner
There is no urgency and this type of injury needs operating with all the information at the right time, once the soft tissues have settled a little. Common for this type of injury to wait more than a week to be operated.
The specifics of recovery etc with this type of injury need to be discussed with whoever treats you as no two injuries are the same.
The NHS is mostly very good at dealing with this type of stuff and most private hospitals don't have the setup to fix acute fractures - most of my trauma colleagues would refuse to fix a fracture in a private hospital as it is not set up for it. There will be odd exceptions to this of course...
jet (Orthopaedic surgeon although don't do knees anymore)
Mine wasn't as bad. As in crack not break/separation. I was in a RoboCop leg brace thing for a good while. Consultant didn't even tell me about the fracture when I pressed after two months he said that it was the reason for the pain.
Medial ligaments are goosed but I'm back running and riding so all good. I guess you'll take longer but it'll get there
I think it was 3 months until no brace and 6 to my first tentative run.
The other half knackered her knee back initially in March 2020 (kickboxing, tried to kick me lol). Was told it was a sprain. Continued training with out any problems over the next few months. Then in September boom. Went completely. Cut a long story short it was ruptured / torn ACL / MCL / LCL, so a pretty decent job. Had a reconstruction Feb' 2021. Consultant (Tim Splading) did a good job. ACL repair + synthetic ligament also repaired the rest. Did move much form the sofa for two weeks. Plenty of physio there after but that didn't do much. Static cycling helped but she really suffered with muscle growth. The only thing that's helped is strength training, plenty of squats and dead lifts. So almost a year post surgery and we're thinking of skiing again. The only limiting factor is psychological. Really scared of re injuring.
Would really chase BUPA, we were lucky enough that AXA took her on post injury, everything moved fast thereafter.
Thank jet, that has put me at ease a bit. Also 100th, those timescales sound like my mental health may be in tatters but as long as a full recovery is possible time is a secondary variable
Bupa can get me to see someone Monday but they will only see me then it will be a while before they put me in for MRI and consultation. The consultant I'm seeing locally is actually on their register but they only use him at his private practice in London. That reassures me a bit, kinda suggests he is probably of the same standard as the other privates that I'd see with Bupa but without the hours of travel and £100s on ferries
So seems best option is to just carry on with NHS. Bit annoying that my expensive Bupa policy is essentially useless to me though. Luckily work pay it but as it's taxable it still costs me a bit
EDIT: Just missed your post Autoelec. Yeah I chased them but it's not really gonna help me I don't think. Once I have the MRI and the NHS consultant has weighed in I'll again look at my options and hopefully I'll be able to use them for physio when it comes to that but if not I have a guy very close who is expensive but really good. Again, once I get to it I'll re-evaluate
No comment on LCL but I fractured and pulled off the knuckle bone that holds ACL onto Tib, in the process over extending the ACL.
I guess the window for the op is for the actual fracture. I know from mine they wanted to wait until swelling was gone but plenty of people have the reconstruction as elective/not as result of a break.
Mine stuck itself back where it was meant to anyway and had a bit of keyhole surgery to tidy things up. Didn't have the reconstruction as that wasn't guaranteed and didn't want to be having it done repeatedly (10 years ago the long term success rates werent great). Keeping fit and maintaining quad and hamstring strength is critical to my knee strength/stability and i have the odd minor wobble but nothing severe. I play football at least twice a week, been back snowboarding etc so no problems. Took about a year before I had proper strength.
So be patient. Shit happens.
By all means make sure you're in the best possible care and able to move but getting back to normal will take sometime so you need to be prepared for lots of effort. and it's best to work out how to accept that.
Nothing that bad here, but full ACL tear and partial MCL tear a few years ago (similar age to you). I'll be honest, just for that, you are looking at 9 month rehab post op. And in my case I waited 6-months for surgery (partly NHS issues, and partly whilst everything was in place and swelling etc went down). I don't know how the bone break complicates things, but all I can wish you is the very best of luck. It seems like the end of the world at the moment (I remember crying a lot!), and its really rough, but in the grand scheme of your life you will get back to stuff. I actually quite enjoyed the really focused rehab and gym work I had to do for 6+ months. Still work with the same PT now.
I broke my Tibial plateau 14 years (😳) ago now going over the bars at a race practise at what is Bike Park Wales now (just after the tunnel, that brutal rock section)
It was horrendous.



It took some healing and I had to take it easy for a while, but don't worry, you WILL heal. Just be kind to yourself and let your body do what it needs.
I had a lot of metalwork in mine which I eventually had removed as it was causing discomfort. I don't really have any pain there now. Possibly a bit but it's hard to tell if it's that or if it's because I'm 48!
Ever since I broke it though I've been unable to play the piano.
Couldn't play it for shit before though like...
Thanks, those last 3 posts are reassuring too, that third one looks horrific. I'm not doing too bad, luckily I have an amazing partner looking after me and a job I can do from home which I enjoy (although working from a laptop instead of a 3 screen workstation is making things a bit harder, and the pain means I've noticed being a bit more susceptible to stress)
6-9month rehab sounds crazy, but of course it'll take what it takes. My initial panic was thta I'd be like a mate of mine who did a similar thing 20 years ago and hasn't walked properly since.
I was actually already planning on starting a knee strengthening program (ATG - kneeovertoesguy for those who know) as MMA is pretty intense on the knees and I was already getting the odd niggle after training. So I'll be getting on that once I'm done and keeping knee and general leg strength up to scratch
In the meantime I guess I'll pick the guitar back up. Pretty much stopped playing 8 years ago when I started riding bikes
I had a partial tibial plateau break in September last year. I'm 50 for reference so recovery was predicted at least a year. No bike until March.
Big metal plate and lots of what look like poorly sized ring shank screws still in place. Doesn't look quite as bad as Kayaks mind.
3 months in now and did my first bike ride with my boy around gentle fire roads at Christmas. Been out a few times since across town and its feeling good.
Lots of short walks up the woods, I still take my crutch but don't use it much now. Borrowed a turbo, never had one previously, that is helping my mental state when I feel like recovery is taking forever.
Definitely feels like I will be doing proper rides come the warmer months.
I ordered a new bike frame in June last year and it arrived in the week I was released from Hospital. Nearly finished it now and itching to get out on it.
Repair feels bloody slow sometimes but there is steady progression and improvement almost daily.
What shocked me most was the amount of muscle wastage. It is coming back though. I'm feeling positive. It will get better. Don't expect too much too soon, it appears to be a long old but the NHS are supporting me very well with physio, hope you get some good support also.
Oh, I'm NHS all the way. They have been awesome. The stay, the food, the after support, the free commode to poo in until I could make the stairs. All of it. They are worth their weight in gold. 5 stars!
Had a similar injury from skiing in Jan '19, tibial plateau plus partially torn ACL. I was flown back to the UK, the company that organised repatriation basically just dumped me at A&E at my local hospital (the nurse who was looking after me on the journey said it's not uncommon).
The first consultant I saw, think he was head of orthopaedics, said I should give up various sports and would be looking at a knee replacement in 10-15 years. Had a few comments from various people about it being one of the worst knees they've seen, a junior surgeon said the bone was just mush, and the knee consultant (who was a very understated gentleman) said it's one he'll always remember.
Fortunately the knee consultant was pretty good and very determined to get my knee back to a decent level of functionality. Initially he chose to wait a while before operating due to fracture blisters. Can't remember the time between the injury and first surgery but it was over a week.
He put a plate in but left the ACL because there was no bone to reattach it (after the first surgery he said he thought it was completely gone. It later turned out to only have been partially torn but there was so much mashed bone and cartilage I think he was struggling to tell what was going on). Had to stay in the hospital for a while after due to generally being in no state to go home (live on my own). The pain was unbelievable. I've broken quite a few bones in various accidents - loads of fingers and toes, a few metacarpals, a radius, both wrists, collar bone, a vertebrae but this was by far the most painful. Once discharged I also had to inject blood thinners into my belly twice a day which I found somewhat unpleasant.
I was non weight bearing and in a brace for about 8 weeks after surgery. It should have been more like 6 but waiting lists and appointment cancellations meant it was a bit longer till I had a check up to see if the bone had healed.
Getting back to walking was a slow, painful and frustrating experience. I pretty much had no leg muscles left and couldn't flex my knee any more. The consultant said I needed to start daily physio immediately. The physio department had a waiting list of several months. He basically took me round to the physio department and refused to leave till I had an appointment. Unfortunately I only got a weekly sessions which was usually with a physios assistant, who wasn't qualified to manipulate the joint. Fortunately my employer at the time had a full time on site physio (it was heavy industry there are occasional accidents and people like to milk the sick pay so it's in their interest to offer physio sessions). I had weekly sessions with the work physio too, who was brutal, but that's probably what I needed.
I was using two crutches for quite a while, then down to one, then a walking stick. Can't remember the exact timelines but I think I stopped using the stick around July '19.
The consultant was quite concerned about the range of movement - I couldn't get my leg anywhere near straight. I think the poor physio provision caused issues here, the longer it it goes with a reduced range of movement, the harder it is to get back.
I had two further operations with that consultant, both keyhole arthroscopies to remove bone fragments and scar tissue and perform some MUA - manipulation under anesthetic, where they can try to force it straight without me screaming in pain and swearing at them. It was after the first of these that he said my ACL was actually reasonably ok so he wouldn't do any reconstruction (this would have entailed the same post operative physio ordeal all over again).
After the two arthroscopies plus MUA and physio I could get to about 15 or 10 degrees off straight - the target i.e. locked out is about -5 or something, I can't remember all the exact numbers. The consultant said there was nothing in the joint stopping it going further and thought it was issues with the tendons in the back of my knee having seized up through lack of use. He referred me to a specialist orthopaedic hospital (Wrightington near Wigan) to look at the possibility of a procedure called capsule release, where they poke about in the back of your knee and unstick the tendons. It took quite a while to see the consultant at Wrightington due to waiting lists. Like the previous knee consultant, his attitude was very much to discuss what outcomes I wanted and what sort of quality of life I was looking for etc. He agreed to perform surgery to try to help get me back to doing sports (skiing, mtbing, climbing and such like). I think if I was a more sedate person he wouldn't have as there wouldn't be much benefit.
During the wait for the referral etc I was discharged from physio at the hospital (the consultant there had an argument about this and put me back on the waiting list) and the physio at work had been told to stop by his boss (presumably cos of cost) though he said he'd have gladly carried on. I had some sessions with a private physio, though she suggested I was better off saving my money till after the capsule release when it would be more beneficial.
I fortunately just got in for surgery at the start of the pandemic, any later and I think it would have been cancelled. He didn't do the capsule release in the end, just more arthrolysis and MUA. I think the capsule release is more invasive and after looking around inside the joint he decided it wasn't worth it. The range of movement was better afterwards but it did start crunching more, which it still does.
At Wrightington they asked if I wanted physio there or at my local. I stupidly said local, due to the convenience. The local physio department discharged me again after one session. Like a lot of the NHS they're too under resourced, plus they were stopping face to face sessions cos of covid.
The consultant at wrightington had stressed the importance of getting my leg to straighten as soon as possible after surgery (as had the guy at the local hospital before him) as there's like a window after MUA before the joint stiffens up again. Both consultants had told me to sit with my foot propped up and hang weights over my knee to force it straight, using over gloves with weights in each side (the local guy suggested using bottles of whiskey. If it was too painful I could always drink some of the whiskey to reduce the weight). As this had limited success so far, and given I had no access to physio (we were in lockdown at this point) I cobbled together a pulley system out of some climbing gear to pull my knee straight. This looked and felt like some kind of medieval torture device but seemed to work. I had a Skype check up with the surgeon and showed him (he asked what exercise I was doing) and was quite positive about this approach. I think he was glad that I was trying to do anything at all, whereas a lot of people might not bother.
When the covid restrictions eased I managed to get physio sessions at wrightington. These were fairly irregular - the physio said the time for doing manipulations had long since passed so it was purely down to me doing the exercises, so he was just monitoring progress and giving new exercises as I got better. Again, had a very open chat about what outcomes I wanted. He focused a lot on dynamic movements which has helped getting back to mtbing and skiing.
It's the 3 year anniversary in a week or so. One leg is still noticeably slimmer than the other. I still need to do some physio exercises most days. I was advised if I want the muscle mass back the best thing would be to join a gym, which I have yet to do due to hating gyms. I've lost a bit of range of movement - can just about straighten it but not lock it out, and can't bend it as much as my good leg. Forcing it to bend further is still uncomfortable but not especially painful. Knee pain is just a daily fact of life now. I've almost completely given up running except for the odd short jog every now and again as it helps with back pain from breaking my back many years ago. I can do most of the activities I used to, but my knee can get tired and I have to think a bit about managing it. I bought a couple of knee braces to help with various sports etc, though I'm now at the point where I don't automatically use one for everything, but do still put one in my pack depending on what I'm doing.
So that may all sound a bit bleak. I suppose I could sugar coat it, but the fact is that for me it's been a long, slow and painful road to recovery. It's not 100% and never will be, but it's good enough for most things and there's still more progress to be made.
In the early days coping mentally was difficult. As I've said it's not my first bad break, but as a very active and independent person it was hard to deal with.
Looking back, some advice I might give my past self would be:
Be honest with friends and family. People want to help, but sometimes it's not welcome and I wish I'd been more clear about this. E.g. having my mum randomly turning up for a few days every now and again was more stressful than helpful. A constant annoyance was people doing what they think is helpful, not the things you actually need doing. E.g. my brother would think he's helping by cooking and washing up, which weren't a big problem as the hospital discharge team gave me a perching stool for the kitchen. But he'd leave loads of mugs on the coffee table. Getting these from the living room to the kitchen involved crutching forward, reaching back for a single mug then placing it in front of me, taking another step on the crutches, reaching back etc etc.
After a while I had to very clearly and bluntly tell family to stop asking how my knee is on a regular basis. Friends generally seemed to get this without me having to say anything, but being asked every week if it's any better and having to say no, reminding yourself how shit the whole situation is was definitely not helping.
Passing the time is a challenge. I bought an Xbox which helped (hadn't played computer games for a long time prior to this).
When you're confident enough on crutches, get out the house every day, without fail (unless it's really minging outside). I figured out routes round the local park etc where there were frequent benches to take a breather. Or even just go to a local shop or something. Have a wash/shower as often as you normally would (daily for me but everyone is different). It's hard work and painful, though once you figure out a system it gets better. It takes up a fair chunk of time too which is useful. Basically, resist the urge to vegitate on the couch and stew over things.
Most importantly, get on top of the physio. Do as much as you can as quickly as you can. It's often painful and always tedious, but it won't get better without it. If you're health cover can help with this then use it. If you can afford extra sessions yourself then consider this too. The hospital physio told me I can't have extra sessions with other physios, it's either only with them or only with the private/work physio. I just ignored them and carried on.
The service from the NHS was for the most part excellent, only physio being an issue as I've mentioned. I saw two excellent and very dedicated and determined surgeons. I don't know if I was lucky or this is the norm, but I can't fault them. I have an acquaintance who is an orthopedic technician and had a chat about it. He mentioned a risk with going private rather than NHS in that with private healthcare profit is a consideration, so you might get the lowest cost options whereas the NHS tries to get the best clinical results. I'm sure individual experiences vary though.
Best of luck with it. Not sure if any of this is useful or what you want to hear though. Feel free to ask questions or pm me
I’ve broken a different bit of the leg, fibula, just above the ankle, also chipped the tib and tallus. Got metalwork in there, i was 6 weeks non weight bearing, I couldn’t even rest my foot on the ground it was so painful.
4 years later, i can dance just as well as i ever could. (That’s badly, btw)
It took a long time to heal, but i got through it.
I’m about 99% fine, it’s rare for me to think about it nowadays.
Wife had a 10mm depressed tibial plateau fracture about 15 years ago.
Doctor missed it on the first x-ray, sent her home to immobilize to await swelling to reduce to assess for acl/mcl injury. Radiologist caught it and her family doctor called her back.
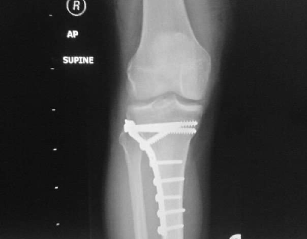
Ended up 2 weeks from fracture to surgery resulting in a required more work to reposition the break, and similar hardware to those xrays above.
Surgeon had zero bedside manner so didn't advise immediate physio so wife was immobilizing following surgery for 2 more weeks before the surgeon follow up and his question "so hows the physio going?".
Massive atrophy over that period.
We've since then we've dropped probably average $1000 a year on physio. She has developed hip issues where compensating for the lack of knee strength.
Based on the ortho referral regarding her hip, she's expecting hip and knee replacement before 50.
Absolutely life changing, made worse by the timeframes involved between diagnosis and surgery then the timeframe between surgery and the start of productive recovery.
I'd suggest she's towards the worst case end of the spectrum. We've a few other friends with similar injuries fairing differently.
Good luck. get a good physio.
Advice above of 'get a good physio' is 100% the best advice there is. I also didn't have a great experience with NHS physio (not the staffs fault, lack of resource), so went private and we are lucky we could afford it, but it was totally worth it.
If they repair the ACL/LCL, that is the challenging bit. It takes 12 weeks for the graft to develop its own blood supply so you are very limited in what you can do (like no clipping into pedals as you can't rotate the knee) and a lot of the focus is getting the muscles to switch on, getting the extension back (as mentioned above). However there is a very well established rehab protocol which you just have to follow. After 12 weeks it is overcoming the muscle wastage which means its take 6-9 months to fully recover (its generally more like 9 months for those of us who are normal people with normal jobs which have to work round the rehab).
Had some progress on this, and also noticed I missed the last few posts as well
Thanks for that detailed info neilc and the other timelines posted below. Yours sounds pretty bad neilc, and not helped by some holes in the service you got. Luckily my Bupa insurance will cover physio, and if not I'm in a position to cover it myself for now. I'll say that the NHS whenever I've dealt with them have been amazing on an individual level, not sure how they stay so friendly and helpful while being so overworked but the issue is more at the system level, trying to get departments to line stuff up and getting referrals etc that's the issue. Like being told by a consultant that I have one week to get it fixed, then someone else refusing to give me an appointment until 10 days later; and the best bit being that the 1 week thing was total nonsense in the first place
I am now onto a private physio, luckliy a longtime family friend is a physio specialising in knees and has been for some 50 years. He also works locally which means he can take me on and he also helped me with consultants as I had no idea at all!
He knows all the surgeons for some radius locally and knows their work well based on the recovery of his patients after surgery from each of them. This was great as he basically told me who was the best by some margin. I couldn't get NHS or Bupa to cover that so I've paid the £300 for a private consultation on the logic that at least I'll get the best assessment and even if I can't afford him to operate he will at least tell me what needs doing and maybe even recommend someone who can do it on my Bupa insurance
The consultant got me to do a CT (luckily Bupa picked up the almost £1k for that bit) then basically said he can try to save my ACL now but it probably wouldn't work so he advised just wait for the fracture to heal (which luckily doesn't need surgery) then go in and reconstruct ACL/LCL
So now later this week, at 2 weeks from injury, he wants the cast removed and a 0-90 degree brace put on so I can start to move it and even do some very light physio, but still zero weight bearing. Then at 8 weeks from injury we remove that and look to operate
He said at least 1 year before I can do MMA again, which is encouraging. 1 year is a long time but the fact that he thinks I'll be able to go back to doing that is encouraging. I'm assuming that as riding doesn't involve the twisting and impacts that MMA does I'll be on a bike way before then, although possibly not smashing down black runs straight away
In the meantime the pain has gone down alot and I'm working from home and have a PS5 next to me. Luckily my bathroom is downstairs as well and I have a nice comfy sofabed to sleep on. And of course an amazing partner looking after me!
From today I'm starting a bit of a plan to avoid just working and playing Playstation, I've installed a multi-stopwatch app on my phone and basically no TV or PS until I've done 1hr readng, 1 hr exercise and 1hr guitar. Should help me remain sane, keep a purpose and use the time productively. Obviously the exercise won't be extreme, just some chair yoga and upper body resistance band work but at least I'll minimise the fitness I lose and I'm sure it'll help my mental health
Just got out of surgery, please inspire me with stories of great recoveries and riding Rampage style trails the day after surgery 🙂
Came round after surgery on a snapped thumb tendon.
Consultant popped his head round to see if i was awake.
'went really well Rob, we put in a pin and joined the tendon to that with some string so thats fixed. But your thumb joint is borked and it will go arthritic amd i will need to fuse the joint in 3 to 5 years time'
That was 10 years ago and whilst it's getting worse it doesn't stop me from doing anything i did before.
EDIT - just seen that you are now 3mths into recovery - hope its going well...
my story:
tibial plateau fracture, 10th Nov, Ju Jitsu, Im 46.
10 weeks in brace, first 8 with zero weight bearing (tough)
Consultant told me to count myself lucky that i had the RoM i did, no running for at least 6mths, "what do you need to run for anyway"
NHS Physio "i reckon we can do a bit better than that" - i saw him roughly every three weeks and followed the plan(s) and pushed myself, riding (road) at about 13 weeks with a scary loss of both strength but also fitness, back on the MTB around 16weeks
Back on the mats last Wednesday, a full six months later, watching a leg lock applied made me go pale!
Its not 100% in strength, flexibility or fitness, and its unlikely to ever be perfect...
feel free to PM me
Ouch, yeah just the thought of leg locks gives me the shivers! I’ll be going back to rolling as soon as I can but only with more ‘sensible’ partners 🙂 and wrestling/Muay Thai will be off the cards for a fair bit longer
Was it a leg lock that broke yours?
I’m 4 months into the injury but only 24hrs into the actual surgery recovery, it’s dragging but it’s fine. I have not been bored once, I’m particularly good at keeping myself busy
I also got a lateral tendonesis along with the actual ACL reconstruction yesterday which should help with stability
He used my hamstring for the graft so that is pretty painful and it’s weird that when I try to use it nothing happens. A little scary that but he says it’ll grow back with about 10% reduction in strength. I’m not a surgeon so what do I know?!
16 weeks to MTB sounds promising, although that puts me at the end of summer… Hoping to maybe be able to do a bit of gravel bikepacking before then but we’ll see
Thanks for the encouraging story!
Update on this.
I'm now just over 3 months post op, the first 3 weeks after surgery were the worse I've had ever had physically. My op was non-standard with the lateral tenodesis so it was expected to be worse but this was terrible! Delayed my rehab a bit as I couldn't do anything for those first 3 weeks so lost even more ROM and strength
Had some very mentally dark times in those weeks, having someone around and keeping sight of the bigger picture is key here. If anyone is in this position and wants help PM me or talk to someone as it takes some understanding and not everyone gets how severe this is for an active person
BUT, fast forward 3 months and it's going well, still hurts occasionally and although it is getting stronger the graft is now at it's weakest point so need to be super careful. Have treated myself to 2 ebike rides to the woods round the corner from me, they both went really well but as it's risky I'll not be doing more until the 5 month mark when the graft gains more strength
Struggling with my flexion range of motion, it's tricky to stretch while being scared of the graft going pop! I didn't think the ACL was stressed under stretching but the consultant said with the imbalances in my knee currently from the op it is still risky
In 3 months my graft should be as well integrated as it'll get apparently so I can go back to light MTB at that point and then at 1 year everything should be reasonably well balanced and I can go back to MMA
Annoyingly if I'd spent the 2hrs of physio I've done every day for the last 7 months training general fitness/strength I would have been in ridiculous shape, instead I'm in bad shape and with a knee that won't be the same as before
Useful things for anyone in a similar position:
Cryocuff: doesn't work as well as ice but used with ice it's great
Swimming: after months of being essentially crippled getting in the water was amazing, even with the knee still in a bad way I was almost as mobile as I was before in the water. Also the only real way to get high intensity cardio in when your lower body is out of action. Went snorkelling in the sea the other week as well, I was almost in tears from how much I enjoyed those 90 mins in the sea (getting in and out is problematic though! get in as far as the mid-shin then just lie backwards)
Foam roller: roll those quads and hammys!
Pullup bar and pushup handles: Have kept my upper body in shape without risking the graft
Cushions under heel: now I'm walking almost normally I can see how critical extension of the knee is. I put in hours of painful stretching and it still isn't perfect
Do the damn physio: I've been doing 2hrs daily since January more or less. Do what your physio says and then some!
7 string guitar: always wanted one and now was the time to spend messing about with songs in dropped B and C tuning I could never be arsed to tune my 6 string down to!
Had a tibial osteotomy a while back. Had some underlying issues but the surgeon did speak to me before the operation about what activities I could realistically do after it - for the rest of my life. I'd given up field sports etc, and now just swim, do a low impact gym routine, and cycle.
Some sports physios think I could do more but I don't want to push it.
As for going back to MMA - crazy!
Anyhow hope the recovery goes well.
