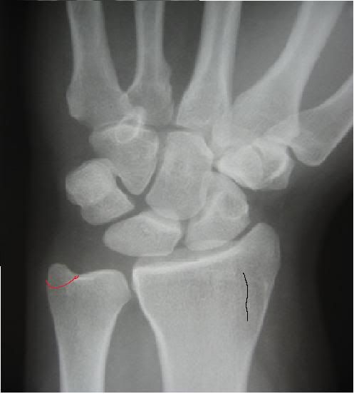
This is what my wrist looks like, taken the little nobbly bit off on the left shown in red, this is the bit that is properly broken. On the right in black, i think there is some kind of fracturing, but does not reach the head or out to the side. nothing is displaced and everything is in good alignment.
This should be a straight forward heal, shouldn't it? Any experiences?
Any exercises i can do in the cast to retain mobility?
how would one get the xrays?
I think you are describing an Ulnar styloid process fracture, which is not considered to need much in the way of treatment as far as I know.
The cast is designed to keep every thing still, so wiggle your fingers and move your arm about, but don't try anything fancy like washing up or vacuuming.
Bad news
Wrist is the slowest heating bones
The less blood flow = slower healing
Hyperbaric chamber speeds up healing considerably.
On the bright side at least its a simple enough fracture
Non smokers heal quicker
Broke my wrist a few years ago - snapped the large bone on the right of your pic. Hurt like hell for the first week, upshot is however, my bone structure is much improved in that area. Subsequent crashes have shown an improved resistance to injury (I think)
The wrist I broke 5 years ago has more movement than the other one, there is an upside 😉
Eat healthy, don't smoke, keep your fingers moving and it'll heal by itself quite happily.
Not sure I'd bother with a hyperbaric chamber for *just* a wrist fracture..
This is my brothers wrist from a few years ago took him a while in plaster and then half as long again to build up the muscle. He said a powerball helped loads.
[url= http://www.powerballs.com/rehab.php?m=Benefits ]Clicky[/url]
did pretty much the same thing to my right wrist at the same time as completely smashing my left one to pieces (and my collarbone as well)
3 weeks in a splint and it was well on the way to no issues.
powerballs do help though but only after the all clear to rebuild wasted muscle.
left one looked like this:
I had a colminated (?) frature in mine, 4 months in plaster finger to shoulder, it proper seized up and took months to get flexibility and strength back but it was better than before once all done. My arm hair grew loads aswell, even the underneath where you dont have any 8O.
I ruined my wrist last year (dislocation of lunate, cracked scaphoid, ligaments torn off = long op) and was told it would be months off the bike. I was riding in the cast within a few weeks and I honestly believe it helped healing loads by increasing blood-flow (disclaimer, obviously I wouldn't recommend you do anything as stupid - maybe waggle your fingers regularly or something). Recovery has been way better than anyone predicted and movement is better than I ever thought it would be. Still noticeably weaker in my right arm than my left atm though, and am doing dumbell training at the gym to get the balance back.
Broken radius and ulna. Happened in June last year, I've declared myself as fully healed about two weeks ago, as in, off painkillers, not strapped up, and back into everything I was doing before I broke it. It's been a fairly rough time, it feels great to be back to normal.
I've got one of those shower things, that keep casts dry. I'm really hoping that I never need it again, so if you want it, let me know.
Quick recent time line for your reference of my wrist fracture:
5th Feb, knocked off by driver not leaving enough space when overtaking, fractured radius: two cracks one straight through the narrow bit as it widens out and one at 45 degrees but no displacement. Into short arm cast.
19th March, out of cast
31st March, first tentative ride out on MTB, bit stiff and swollen so stuck it in ice after
Bought one of those 661 wrist wrap pros and...
7th April, decent 3 hour ride and felt fine after
12th April out in the Peaks and hit the rocky stuff pretty hard with no ill effects.
...still a little stiff and limited movement but not really restricting my riding.
In summary 6 weeks in cast and 4 weeks to get back to riding normally, that’s my experience anyway.
Hi,
I broke my wrist (schaphoid) about two years ago now. I broke it falling off my bike on ice during a solo night ride - bit silly I know.
I broke it on the Monday night and had it in a cast and was riding (small) dirt jumps on the Saturday of the same week. I had to file the cast down a bit to be able to grab the bars but it worked out ok. Went street riding on the sunday (which hurt a bit) but pretty much rode normal trails ok with the cast on for a few weeks.
It seemed to heal pretty quickly and now it is 'almost' as good as my un-broken wrist. I can still feel it a bit when carrying heavy shopping bags in one hand but its not a real issue.
I don't think I caused any more harm by riding too soon as most people seem to say any broken bone never feels as good as before.
James, Isnt that your second broken wrist ? I remember one many moons ago, bad news...what an idiot driver.
Any exercises i can do in the cast to retain mobility?
You mean you need to ask (assuming you're a bloke of courese)
Hi Simon
You're right! It was my scaphoid last time but the same wrist! Once again I came off worst in a run in with a car, all pretty much sorted now, much quicker recovery with the radius fracture than the scaphoid.
Commuting appears to be much more dangerous than mountain biking in my experience!
James
Currently 2 1/2 weeks into healing a fracture of the distal phalanx of my left thumb. Second appointment next week, hopefully it will be nearing healing. Thumb splint looks ridiculos though!
Hope you recover quickly and hassle free - I may need mine pinned apparently - though I thought they would have done that at the time.
Could be worse. This is the reason my trowel is rusty!!
Dislocated, end snapped off ulner, radius shattered, bone graft from hip, 9 months off work, career change due to injury, now won't rotate more than 90 degrees, 10 years ago now numb most mornings.
Oh, broke the other elbow at the same time for good measure.
[img][url= http://farm8.staticflickr.com/7212/7202710598_23724310ed.jp g" target="_blank">http://farm8.staticflickr.com/7212/7202710598_23724310ed.jp g"/> [/img][/url][/img]
Was in cast for 5 weeks, it got too slimey, a few beers persuaded me to take it off.
Been out of cast about a week now, wrist is reasonably mobile. Been riding with a wrist brace, been doing some bmx track pumping/jumping, bunny hopping, rocky riding, feels ok. Got x-rays on monday to check if it has all set properly, feeling optimistic.
One of my easiest healing injuries (touches wood).






